이 기사를 공유합니다

부작용 적지만 효과는 미흡…모든 암을 완치한다는 맹신은 금물

 

2002년 노벨평화상 수상자인 지미카터 전 미국 대통령이 2015년 악성 흑색종을 면역 항암제로 완치했다는 사실이 알려지면서 면역 항암제에 대한 관심이 높아졌다. 면역 항암제는 기존 항암제와 달리 부작용이 거의 없다. 그러나 그 효과는 10% 내외로 낮은 편이다. 면역 항암제가 모든 암을 단번에 치료할 것이라는 맹신은 금물이다. 

 

암세포는 특정 물질(PD-L1)을 만든다. 이 물질은 면역세포인 T세포와 결합한다. 그러면 T세포는 암세포를 정상 세포로 착각하고 공격하지 않는다. 반대로 PD-L1이 T세포와 결합하지 못하도록 하면 T세포는 암세포를 공격할 것이다. 이 이론에 근거해 만든 약이 면역 항암제다. 면역 항암제는 T세포와 먼저 결합해 암세포의 PD-L1가 붙지 못하도록 한다. 

 

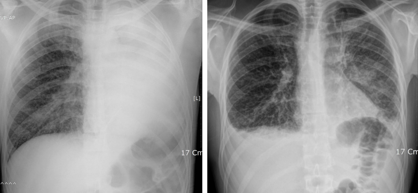
(왼쪽)폐암 4기 환자의 좌측 폐암으로 기관지가 완전히 막혀 무기폐(팽창된 상태를 유지하지 못하고 쭈그러든 상태)가 발생했다. (오른쪽) 면역 항암제와 기존 화학 항암제를 병행한 뒤 폐암의 크기가 작아지면서 좌측 기관지가 열려 무기폐가 사라졌다. (강동경희대병원)​

 

1세대 화학 항암제는 세포독성 물질로 암세포를 공격해 사멸한다. 그러나 암세포뿐만 아니라 주변의 정상 세포도 같이 공격해 부작용이 심했다. 2세대 항암제는 정상 세포를 공격하지 않기 위해 암세포의 특정 물질만 공격하는 표적항암제다. 부작용은 1세대에 비해 줄었지만, 암세포에 내성이 생겨 항암제가 듣지 않는 문제가 있었다. 

 

3세대인 면역 항암제는 이런 부작용이 거의 없다. 김정아 강동경희대병원 혈액종양내과 교수는 “3세대 면역항암제는 우리 몸의 면역체계를 이용하기 때문에 기존 항암제보다 독성과 내성의 문제가 적고 부작용도 현저히 적다”고 설명했다.

 

그러나 기대만큼 효과가 크지 않다는 게 약점이다. 악성 흑생종엔 40%, 다른 종양엔 10% 내외의 효과를 보이는 정도다. 김 교수는 "앞으로도 면역 항암제의 치료 성과를 높이기 위해 많은 연구가 필요하다"고 말했다.

 

저작권자 © 시사저널 무단전재 및 재배포 금지