이 기사를 공유합니다

전파 경로부터 치료·예방까지 Q&A로 풀어본 원숭이두창의 A부터 Z  

세계적으로 확산 중인 바이러스성 감염병인 원숭이두창이 결국 국내에도 유입됐다. 6월21일 독일에서 귀국한 30대 내국인은 입국 전인 18일부터 두통이 있었고 입국 당일에는 미열(37도)·인후통·무력증·피로 등 전신증상과 피부병변이 나타났다. 자신이 인천공항에서 질병관리청에 신고한 후 원숭이두창 의심자로 분류됐다. 이후 인천의료원(국가지정 입원치료병상)으로 이송돼 진단검사를 받았고, 다음 날 원숭이두창 확진 판정이 나왔다. 방역 당국은 현재 환자 상태가 전반적으로 양호하다고 밝혔다. 백경란 질병관리청장은 6월22일 브리핑을 통해 “원숭이두창 의사환자 2명의 진단검사 결과 내국인 1명이 최종 양성으로 확인됐다”고 발표했다. 

또 다른 의사환자(감염체가 인체에 침입한 것으로 의심되는 환자)는 6월20일 인천공항으로 입국한 후 부산으로 이동한 외국인이다. 6월19일부터 인후통 등 전신증상과 함께 수포성 피부병변 증상을 보여 21일 부산의 한 병원을 찾았다. 진단검사 결과 수두로 확인됐다. 

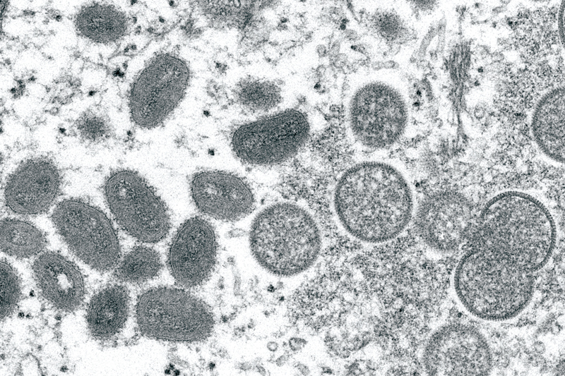
미국 질병통제예방센터(DCD)가 2003년 전자현미경으로 촬한 타원형의 원숭이두창 바이러스 입자(왼쪽)와 구형의 미성숙 바이러스 입자(오른쪽)ⓒAP 연합
미국 질병통제예방센터(DCD)가 2003년 전자현미경으로 촬한 타원형의 원숭이두창 바이러스 입자(왼쪽)와 구형의 미성숙 바이러스 입자(오른쪽)ⓒAP 연합

“지역사회에 퍼지면 또 다른 국면 맞을 수도”

김우주 고대구로병원 감염내과 교수는 “원숭이두창의 국내 유입은 시간문제였다. 코로나19 유행이 줄어들면서 거리 두기와 해외여행 제한을 푼 유럽에서 4월부터 원숭이두창이 전파되기 시작했다. 아시아에서는 싱가포르와 한국이 코로나19 제한을 다 풀었고 원숭이두창 감염 사례가 나왔다. 그나마 이번 국내 감염 사례는 해외 유입이고 비교적 빨리 발견했다. 잠복기가 3주인 데다 입국자의 양심에 맡기는 검역에 한계가 있어 해외여행을 다녀오지 않은 내국인 사이에서 원숭이두창이 전파되면 또 다른 국면을 맞을 수 있다”고 경고했다.

원숭이두창의 국내 유입이 확인됨에 따라 두려움이 확산하고 있다. 원숭이두창은 어떤 병이고 어떻게 예방할 수 있을까. 시사저널은 세계보건기구(WHO)·질병관리청·감염병 전문가의 도움을 받아 원숭이두창에 대한 궁금증을 문답식으로 풀었다. 

 

Q 원숭이두창의 국내 유입 상황을 어떻게 받아들여야 할까.

A 간략하게 정리하면, 원숭이두창 발생 국가를 방문하지 않은 일반인은 과한 공포심을 가질 필요가 없다. 성접촉이나 피부 접촉과 같은 밀접한 관계로 전염되므로 코로나19보다 전파력은 약한 것으로 평가된다. 다만 국내 유입이 확인된 만큼 검역을 강화할 필요는 있다. 이를 위해 질병관리청은 6월22일 위기 경보를 ‘관심’에서 ‘주의’로 높였다. 일반인의 생활에 큰 변화가 생기는 것은 아니고, 지자체·부처·의료기관 등의 협력체계를 갖추기 위해 현재 방역 당국의 대책반이 중앙방역대책본부(방대본)로 격상된다. 

검역 시스템은 제대로 작동 중인가. 

원숭이두창이 해외에서 유입됨에 따라 공항·항만 등의 검역이 중요해졌다. 현재 원숭이두창 유입을 막기 위해 입국자를 대상으로 발열 체크와 건강상태질문서를 받고 있다. 그러나 입국자가 자진 신고하지 않으면 원숭이두창을 걸러낼 방법이 없다. 또 잠복기가 최장 21일이어서 입국 후 지역사회에서 퍼질 가능성도 있다. 이에 따라 지역 의료기관의 역할이 중요하다. 방역 당국은 원숭이두창 발생 국가를 중심으로 발열 기준과 해외 유입 감시도 강화하기로 했다. 

올해 원숭이두창 유행이 세계적인 이슈가 된 까닭은.

이 감염병은 본래 아프리카 등 열대우림 지역의 풍토병이다. 그런데 5월7일 영국에서 원숭이두창이 확인된 후 세계 각국으로 퍼졌다. 원숭이두창이 풍토병 지역을 벗어나 유행하는 것에 세계 의료계가 관심과 우려를 나타내고 있다. 올해 발생한 원숭이두창 감염 사례 중 아프리카에서 발생한 비율은 3%이고 나머지는 유럽을 중심으로 한 비풍토병 지역에서 보고됐다. 

원숭이두창이란 어떤 감염병인가. 

원숭이두창은 바이러스 감염에 의한 인수공통감염병이다. 1958년 연구용 원숭이에서 수두와 비슷한 질병이 발생해 원숭이두창이라는 명칭이 붙었다. 첫 원숭이두창 감염 사례는 1970년 콩고민주공화국에서 보고됐고, 이후 가봉과 나이지리아 등 아프리카 중·서부 국가에서 풍토병화됐다. 2003년 이후 미국·이스라엘·영국·싱가포르 등 여러 국가에서 감염 사례가 보고됐다. 우리 정부는 6월8일 원숭이두창을 2급 감염병으로 분류한 바 있다. 2급 감염병은 전파 가능성을 고려할 때 격리가 필요한 감염병으로, 코로나19·결핵·수두 등 22종이 지정돼 있다. 

치명률은 얼마나 되나.

통상 아프리카 지역의 치명률은 0~11%로 알려졌으나, 최근 WHO에 보고된 치명률은 3~6% 정도다. 김우주 교수는 “감염자 대부분은 50세 이하이고, 천연두 백신을 접종하고, 항바이러스제 투여 등으로 비풍토병 지역에서 사망 사례는 없다. 그러나 신생아, 어린이, 면역저하자 등에서는 심각한 증상으로 진행될 수 있어 주의가 필요하다”고 말했다.  

전파 경로는 어떻게 되나. 

동물-사람, 사람-사람, 감염된 환경-사람 간 접촉을 통해 감염된다. 쥐와 같은 설치류와 원숭이와 같은 영장류가 주요 감염 매개체로 지목받는다. 인간끼리의 전파는 감염된 비말, 병변 부산물(혈액·체액·피부), 매개물(의복 등)을 접촉해 이뤄진다. 바이러스가 포함된 공기(에어로졸)를 통한 전파가 가능하나 흔하지는 않다. 감염된 모체에서 태아로 수직감염이 발생할 수 있다. 임숙영 방대본 상황총괄단장은 “비말 감염이 되는지는 아직 확인되지 않았다. 그래서 비말 감염의 가능성이 전혀 없다고 배제하기 어렵다. 대부분은 피부 접촉이나 성접촉과 같은 밀접 접촉을 통해 감염되는 것이 일반적인 경우”라고 설명했다.

감염자와 같은 비행기를 탔다면 감염될 가능성이 있나.

호흡기 전파 가능성은 있으나 흔하지 않다. 따라서 비행기에서 감염될 가능성은 크지 않다. 다만 감염자 주변 좌석에 있던 사람은 능동 감시(하루 1~2회 보건소 모니터링)로, 그 외의 탑승객에 대해서는 수동 감시(본인이 관찰 후 의심 증상 발생 시 신고) 방식으로 관리한다. 

감염되면 어떤 증상을 보이나.

바이러스 잠복기(평균 7~14일·최장 21일)를 거친 후 발열·두통·근육통부터 시작해 고열 증상을 보인다. 발열 1~4일 후에는 발진이 생긴다. 대한감염학회에 따르면, 발진은 2~4주에 걸쳐 머리에서 시작해 전신과 팔다리로 퍼진다. 얼굴·손바닥·발바닥에 집중적으로 나타나는 경향이 있다. 간혹 입·생식기·항문에도 나타난다. 처음에는 반점으로 보이던 발진은 수포(물집), 농포(고름), 가피(딱지)로 진행한다. 또 2~4주간 목·겨드랑이·서혜부 등의 림프절이 붓기도 한다. 

어떤 방법으로 검사하나.

의심 환자의 혈액이나 가피 등을 채취해 PCR(유전자증폭) 검사를 진행한다. 

‘원숭이두창 바이러스 양성’ 표시가 있는 시험관ⓒREUTER
‘원숭이두창 바이러스 양성’ 표시가 있는 시험관ⓒREUTER

치료제는 있나. 

상용화된 원숭이두창 전용 치료제는 없다. 국내에 원숭이두창 치료에 이용할 만한 항바이러스제와 면역글로불린 약제(100명분)가 있다. 또 정부는 원숭이두창 치료를 위한 항바이러스제(테코비리마트) 500명분을 7월 중 도입할 예정이다. 병원에서는 이런 치료제로 증상을 줄이거나 후유증을 예방하는 대증치료를 한다. 

예방 백신은 있나. 

상용화된 전용 예방 백신은 없다. 다만 아프리카에서 발생한 원숭이두창 환자를 관찰한 결과, 천연두 백신이 85% 정도의 예방 효과를 보이는 것으로 조사됐다. 국내에는 생물 테러 등 매우 위험한 공중보건 위기에 대응할 목적으로 비축해둔 천연두 백신이 있다. 천연두 백신은 3세대까지 개발돼 있는데 국내에 있는 것은 2세대다. 김우주 교수는 “정부가 원숭이두창을 예방할 것처럼 말하는 2세대 천연두 백신은 원숭이두창 예방 목적에 적합치 않다. 바이러스를 약화시킨 백신(생백신)이어서 접종 후 다른 사람에게 바이러스를 전파할 우려가 있고, 100만 명당 1~2명이 사망하는 등 부작용도 있다. 미국과 영국 등지에서 접종하는 천연두 백신은 3세대”라고 설명했다. 최근 정부는 3세대 천연두 백신을 도입하겠다고 밝혔다.

누구나 천연두 백신을 맞을 수 있나. 

일반인은 접종 대상이 아니다. 감염자와 접촉 강도가 중위험 또는 고위험인 사람이 희망할 경우 접촉 14일 이내에 2세대 천연두 백신을 맞을 수 있다. 임숙영 상황총괄단장은 “고위험 접촉은 성접촉, 동거인, 피부 접촉, 체액 접촉 등이다. 중위험 접촉은 보호구를 미착용한 상태에서 환자를 진료한 의료진 등”이라고 설명했다. 

과거에 천연두 백신을 맞은 사람은 안전한가.  

국내 천연두 백신 접종은 1979년까지 시행됐다. 이때까지 천연두 백신을 맞은 사람은 천연두에 대한 면역이 있을 것으로 추정되나 정확한 평가는 어렵다. 

5월27일 인천국제공항에서 검역 대기 중인 승객들 앞에 원숭이두창 안내문이 세워져 있다.ⓒ연합뉴스
5월27일 인천국제공항에서 검역 대기 중인 승객들 앞에 원숭이두창 안내문이 세워져 있다.ⓒ연합뉴스

일반인을 위한 예방수칙은 무엇인가. 

원숭이두창에 감염된 사람이나 동물, 바이러스에 오염된 물질(의류·침구류·식기류 등)과 접촉할 때 감염될 수 있으므로 주의해야 한다. 혹시 모를 감염을 차단하기 위해 비누와 물로 손을 자주 씻는 등 개인위생 습관이 필요하다. 백경란 질병관리청장은 “원숭이두창 발생 국가를 방문하는 국민은 손 씻기, 마스크 착용 등 개인위생 수칙을 준수하고, 귀국 후 21일 이내 증상 발생 시 질병관리청 콜센터로 상담해 달라”고 당부했다. 

원숭이두창의 국제적 상황은 어떤가. 

질병관리청은 6월22일 기준으로 총 52개국에서 3127명이 원숭이두창으로 확진됐다고 밝혔다. 영국이 794명으로 가장 많고 스페인(520명), 독일(469명), 포르투갈(304명), 프랑스(277명) 등 순이다. 사망 사례는 나이지리아에서 1건 보고됐다. 유럽에서는 감염자가 많이 나왔지만, 아시아에서는 드물게 발생했다. 올해 원숭이두창 확진자가 발생한 아시아 국가는 이스라엘(11명), 아랍에미리트(13명), 레바논(1명), 싱가포르(1명), 한국(1명) 등 5개국(총 27명)이다.

국제 의료계의 대응 움직임은. 

원숭이두창의 전파 속도가 최근 빨라졌다. WHO에 따르면 5월30일까지 30여 개국 약 550명이었던 감염자 수는 6월15일 42개국 2103명, 6월22일 52개국 3127명으로 6월 이후 급증하는 추세다. WHO는 6월23일 긴급회의를 열어 코로나19처럼 원숭이두창에 대해서도 최고 경보 단계인 ‘국제적 공중보건 비상사태(PHEIC)’를 선포할지 논의하기로 했다. 현재 PHEIC에 해당하는 질병은 코로나19와 소아마비다.   

저작권자 © 시사저널 무단전재 및 재배포 금지
관련기사